Skip to main content

النخر

المسببات الرئيسية

الخلايا التي تموت عن طريق الخطأ إستجابة للتلف الحاد والصدمة ونقص إمدادات الدم والمواد الكيميائية/الأدوية.

ولا تخضع هذه الخلايا لأي آلية تنظيمية وانتقائية، ومن ثم تموت من خلال عملية نخر الخلايا

تلف الحجمية

.

الصدمة
نقص إمدادات الدم
المواد الكيميائية أو الأدوية
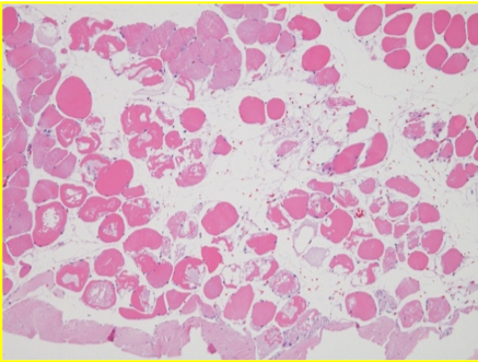
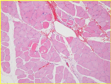
necrosis hidroxibenceno

                                           النخر 

25 min post endopeel

عدم التنظيم شاهد 25 دقيقة بعد إندوبيل

reorganization 60 min after endopeel

إعادة التنظيم بعد 60 دقيقة من إندوبيل

تجربة

بعد حقن 0.05 مل بطانة الرحم قسم بحوث الأعضاء والنظام، جامعة أكيتا، كلية الطب، عيادات يوكوهاما ميناتو وشيجوكو

تحليل: معهد سابورو لأبحاث الأمراض LTD .

العواقب

تتورم الخلايا في حالة النخر وتنفجر، فتصب محتوياتها في المنطقة المحيطة، وتلوث البيئة التي تقيم فيها الخلايا الأخرى، مما يسبب ويسبب إستجابة التهابية، وتنتشر مثل لوح الشطرنج، وتتطور كعامل مهين.

النخر هو عملية يحدث فيها فقد في الطاقة (وبالتالي فقد عوامل الإشارة)، مما يؤدي إلى عيوب في عملية الاستقلاب الناتجة عن فقدان التدرجات الأيونية (هذه التدرجات موجودة على جانبي غشاء خلية البلازما).