الية العمل

ملخص الية العمل


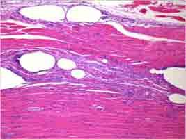
تخثر بروتيني للأنسجة تحت الجلد الهيبوتونية
التوضيح
إذا قمت بإدخال منتج بطانة الرحم الرئيسي في بياض البيض كما في أنبوب الاختبار المقابل، فستحصل على التخثر البروتيني فورا بعد إضافة تأثير التشوه على البروتينات التي تصنعها أندوبيل.
نفس الشيء يحدث مع السيلوليت، إذا حقنت أندوبيل في الأنسجة تحت الجلد مع تأثير رفع، تأثير إعادة التصريف، تأثير ضيق و دوران محيط الفخذ يتناقص.
النتيجة
يعد إندوبيل فعالا جدا في السيلوليت وكذلك في علاج الجلد البرتقالي. يشد إندوبيل الأنسجة تحت الجلد التي يبدو أنها "ملتوية". يحدد علاج التصلب الليفي التالي لبطانة الرحم تحسنا جماليا ووظيفيا في الأنسجة الهيبوتونية.


التعبير عن بروتين Synaptophysin و S100
وهذا يظهر أن أندوبيل لديه آلية عمل مختلفة تماما على صفيحة المحرك عند أختلاف ذيفان البوتولينوم.

سرعة التوصيل في الألياف العضلية للفأر الصافر
التوضيح
هذه الدراسة تم تحقيقها من قبل علماء وظائف الأعصاب الكوريين من بوسان-كوريا الجنوبية
التحكم باستخدام NaCl 0.9٪ 1 ml :
يعني قيمة +-S.D (m/s) تكون p <0.05: لا يوجد تباين في سرعة التوصيل
تقل سرعة التوصيل حتى اليوم 5 بعد حقن بطانة الرحم، وستزداد ببطء لمدة شهر واحد لتعود إلى الحالة الطبيعية.
النتيجة
الاندوبيل يعيد العصب الى طبيعته الاولية
التأثير المصلب على الأوعية
أثر إندوبيل متصلب . يقلل إندوبيل من الترهل عن طريق تقوية تونية العضلات. كما يمكن أن يؤدي تضيق الجلد، على قمة العضلات، إلى إزالة التجاعيد، كما أنه أكثر إثارة للاهتمام من أن يعالج الدوائر المظلمة تحت الجفن السفلي.


